想要从事相关工作的人员,必须重视CT大型设备上岗证考试,因为这个考试能够全面检验他们对CT设备操作和影像诊断等知识的理解和运用能力。接下来,我们将逐一深入探讨一些常见的考试内容。
基础理论知识
本部分重点评估考生对CT成像基本原理和设备结构的掌握程度,包括对扫描装置、探测器等关键部件作用的理解,以及X射线生成与衰减特性的掌握。在考试中,名词解释和选择题往往围绕这些知识点设计,考生需运用深厚的理论知识来解答这些问题。
基础理论看似简单,但我们不能掉以轻心,因为其中很多细节很容易让人混淆。比如,不同类型探测器的优缺点,在考试中可能会以对比分析的形式出现,只有准确记牢了,才能正确选择答案。
扫描技术的参数配置对图像清晰度有着重要影响。试题中会讨论到诸如管电压、管电流、层厚和螺距等关键参数的选取及其应用。举例来说,在扫描不同人体部位时,需要依据组织特性来调整这些参数,以便获取清晰且精确的影像。
在实际操作时,需根据不同病例情况,巧妙调整参数设置。在考试中,会依据具体病例,考查你如何制定恰当的扫描计划。这既要求你牢记参数,还需深入理解其内在原理及适用场合。
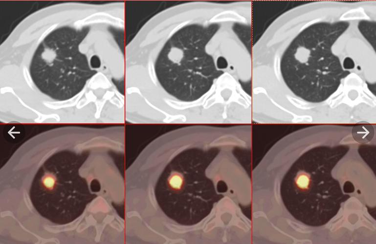
这是考试中的关键内容,同时也是难点所在。考生需仔细观察CT图像,对病变的具体位置、形状、密度等特性进行精确识别,同时还要对其可能的致病原因进行深入分析。以肺部结节为例,对其良性或恶性的判断,必须综合考虑结节的大小、边缘的清晰度、密度等多种因素。

图像分析要求具备深厚的临床知识及出色的观察能力。在平日里,应广泛接触各类病例影像资料,深入探究不同病变间的特点与区别。面对考试中的复杂图像,需保持冷静,细致分析,以免出现漏诊或误诊的情况。
CT扫描带来一定的辐射影响,所以确保辐射防护的安全至关重要。考试内容可能会涉及如何减少患者及工作人员所受的辐射量,例如科学选用防护装备、调整扫描设置等方面。
在实际工作中,我们必须严格遵守辐射防护的相关规定。在考试中,这部分内容可能会以案例分析的形式呈现,要求你分析某个操作是否满足防护标准,并提出改进措施,目的是为了保障人员的安全。
法律法规规范
从事医疗行业的工作,务必熟悉相关的法律条文和操作规程。在考试中,考生需要掌握执业医师法、医疗事故处理条例等知识,以检验其对医疗法律义务和规章制度的理解程度。
这些法律和规定是确保医疗服务质量及维护患者权益的关键。在考试中,题目可能会涉及对某一行为合法性的判断,考生必须准确理解法律条款,以免因法律意识不足而做出违规行为。
在准备CT大型设备操作资格证书考试的过程中,你发现哪种题型特别有挑战性?不妨点个赞,转发这篇文章,让我们共同探讨复习心得!
主题测试文章,只做测试使用。发布者:zywx,转转请注明出处:https://www.zywx.com/jnpj/%e5%8c%bb%e7%94%a8%e8%ae%be%e5%a4%87/%e6%83%b3%e8%a6%81%e4%bb%8e%e4%ba%8b%e7%9b%b8%e5%85%b3%e5%b7%a5%e4%bd%9c%ef%bc%9f%e9%87%8d%e8%a7%86ct%e5%a4%a7%e5%9e%8b%e8%ae%be%e5%a4%87%e4%b8%8a%e5%b2%97%e8%af%81%e8%80%83%e8%af%95%e5%8f%8a%e5%b8%b8/